【三水人医】引进高端医学人才 助力高水平医院建设
8月5日,我院开展特聘专家佛山市第一人民医院心血管外科封加涛主任合作签约仪式,这是佛山市第一人民医院医联体建设技术帮扶下沉的重要举措;也是贯彻落实市委组织部“脑心同治”项目的生动体现;同时体现我院积极开展“我为群众办实事”实践活动,将为危重心脏做外科手术病人在家门口就能提供高端、便利的医疗服务。
封加涛教授是佛山市第一人民医院心胸外科主任医师、医学博士、博士后联合导师并作为佛山市第一人民医院技术帮扶我院的特聘专家,也是“脑心同治”项目柔性引进心脏外科博士之一,将定期到我院开展以心血管及心胸外科为主的医疗、教学、管理指导工作,尤其是为心脏外伤的现场急救、心脏介入等心内科治疗方面保驾护航,不仅进一步提升诊疗技术水平和积极开展MDT多学科联动建设,而且让三水周边市民能够在家门口即可享受到“佛山市一”的优质医疗服务。
签约仪式上,医院党政班子对封加涛主任的加盟表示欢迎,感谢市委组织部对“脑心同治”项目的人才支持,感谢佛山市第一人民医院对我院提升专科技术的鼎力帮扶。封加涛主任的加盟,将帮助我院增强医疗技术团队力量,提升专业领域水平,推动我院“六大中心”专科建设,以专科建设强化三甲医院内涵建设,努力打造区域性医疗卫生健康服务高地。
很多人听到“血尿”一定觉得很害怕,
这是肾病发出的报警信号,
近日,一女子
因反复"血尿"三个月来院就诊,
三水区人民医院泌尿外科医生
为其检查发现,
在右肾中竟然隐藏了一个巨大肿瘤!
47岁的宗女士身体健康,既往也没有高血压、糖尿病和肾病。就在三个月前,宗女士开始无明显诱因出现肉眼可见淡红色血尿,但没有血块排出,排尿时候也没有赤痛,其他一切感觉正常。宗女士刚开始对此并没有太在意,以为多饮水就能自行缓解。直到最近一周,再次出现了肉眼可见的无痛性血尿,但这次血尿明显颜色深沉,才开始担心起来,最终来到我院泌尿外科就诊。
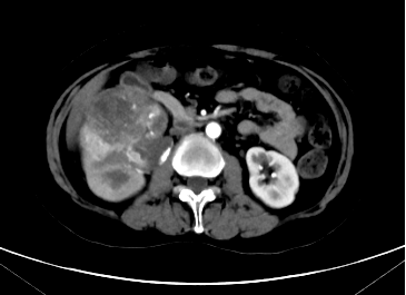
腹部CT平扫
腹部CT增强扫描
泌尿外科林伟广副主任医师接诊后,为宗女士进行详细的B超检查,结果报告提示“右肾下极不均密度占位改变”,初步考虑右肾肿瘤,随后安排进一步检查,最后发现宗女士的肿瘤位于右肾中、下极,大小竟然有9厘米,足有一个苹果般大小。
MDT多学科协作切除巨大肿瘤
泌尿外科林伟广副主任医师表示,宗女士肾肿瘤巨大,黏连严重,肿块离肾门近,若肿瘤要切除干净,手术难度较高。加上宗女士肿瘤与肠管关系欠清晰,手术需要很精细,避免肠道损伤。术前宗女士也存在贫血情况,术中更加需要控制好出血。
鉴于患者肿瘤的复杂情况,泌尿外科团队为宗女士拟定了更为个性化的手术方案:经腰部的斜切口入路,实施开放下右肾肿瘤根治性切除术。
术前,经过MDT多学科会诊,医学影像科为患者仔细阅片分析,麻醉科评估患者基本情况,提出了相关术前准备措施,并为术中可能出现的情况做好充分准备,以应对突发情况,保障手术麻醉的平稳。输血科在“O”型血紧张情况下,也予优先提供必要的输血保障。在多学科MDT机制联动下,手术有了充分保障,也让本来焦虑的宗女士坚定了信心。
术中,经右腰部第12肋切口,优先分离暴露肾蒂后予优先结扎,分离并阻断输尿管,阻断右肾血供,减少手术出血及肿瘤沿血管及输尿管转移机会,同时术中证实肿瘤与腹膜粘连明显,经仔细、逐步游离肿物后,完整根治性切除右肾,未伤及血管和肠子。手术用时1小时7分钟。
↑ 泌尿外科专家团队为患者实施手术
↑ 术中切除的肿瘤
↑ 术后,为宗女士检查恢复情况
术后,宗女士恢复良好,无并发症出现,现已康复出院,生活也回归了正常。据病理结果报告,肾巨大肿瘤完全切除干净。宗女士及其家属表示对手术很满意,也非常感谢全体医护人员的付出,为此,出院前还特意赠送锦旗以表谢意。
↑ 宗女士及家属为泌尿外科全体医护人员赠送锦旗
“刚开始手术时我真的很担心!知道自己肿瘤这么大,我很担心手术风险高。后来经过专家团队的详细分析,我也放心了很多。得了肿瘤对于我来说是很不幸的,但三水区人民医院泌尿外科为我完整切除肿瘤,对于我来说又是不幸中的大幸!现在我身体没什么不舒服的了,一切也回归正常,非常感谢人民医院各专科合作的专家医护团队。”宗女士说道。
医生有话说
“研究显示肾癌高发年龄在50岁至70岁之间,但近年来,50岁以下人群中也出现了肾癌患者。”林伟广副主任医师提醒,养成良好的饮食生活习惯,不吸烟,低脂低蛋白饮食,多吃水果和蔬菜可以降低高脂高蛋白风险,适当健身,预防肥胖等有助于肾肿瘤的预防。另外,出现血尿、肋腹痛、腹部包块等应引起重视,不要因为症状不明显,或者不影响生活就抱有侥幸心理,以免小病拖成大病,轻症拖成重症。早发现、早治疗将会获得更好的治疗效果。
三水区人民医院泌尿外科自成立以来,已经在肾脏肿瘤疾病方面做了很多突破,包含了肾肿瘤保留肾功能的部分切除术,双侧肾肿瘤保肾切除,肾巨大肿瘤的完整切除等,并累积了丰富的经验,同时,泌尿外科现已开展了腹腔镜技术,可为早期肾肿瘤患者提供更为微创的手术方案,以“我为群众办实事”为宗旨,为三水人民提供优质医疗服务。
禅城交通党员志愿者助力佛山火车站防疫
为给中高风险地区及省外来禅人员免费提供核酸检测服务,禅城区交通运输局牵头,协同区卫健、团委等相关部门在8月8日正式启用佛山火车站核酸检测点。截至18日,该检测点累计完成11603名旅客的人员筛查,为6170名旅客进行核酸检测工作。
火车站人流量巨大,佛山火车站核酸检测点启用后,急需招募一批志愿者协助工作。面对疫情防控复杂形势,禅城交通各级党组织的党员干部纷纷报名参加志愿服务。
8月13日深夜,从哈尔滨西出发,原计划21时49分到达佛山火车站的 Z111列车晚点近3个多小时。此时站点的志愿者们已连续工作超过6个小时,经火车站防疫专班研究,决定让志愿者们回去休息,并发出志愿服务号召。禅城交通部门迅速部署,动员全局党员干部参加防疫任务,局第二党支部积极响应集结,短短10多分钟,便组建起11人的党员志愿队伍。
经过近1小时奋战,至凌晨1时10分,党员志愿队伍完成了超200名旅客的人员筛查,以及180名旅客的核酸检测工作。
无独有偶,次日从昆明出发、原计划当晚7时多到站的列车直到深夜12时01分才到达佛山火车站,晚点5个小时。现场防疫力量再次超负告急。为此,区交通运输局党组再次吹响集结号,局第一党支部迅速动员组织一支11人的党员志愿队奔赴现场,筑牢防疫的“铜墙铁壁”。
佛山的夏季潮湿闷热,加上火车站现场临时防疫检测点工作条件艰苦,当党员志愿者脱下密不透风的防护服后,每个人都汗流浃背、浑身湿透,但是他们都因为顺利完成志愿服务而倍感自豪。
微信
新浪微博
QQ空间
QQ好友
豆瓣
Facebook
Twitter
