中央政治局委员 书记处书记 全国人大常委会 国务院 全国政协党组成员 最高人民法院最高人民检察院党组书记向党中央和习近平总书记述职
中央政治局委员 书记处书记
全国人大常委会 国务院 全国政协党组成员
最高人民法院 最高人民检察院党组书记向党中央和习近平总书记述职
根据党中央有关规定,中央政治局委员、书记处书记,全国人大常委会、国务院、全国政协党组成员,最高人民法院、最高人民检察院党组书记每年向党中央和习近平总书记书面述职。近期,有关同志按规定向党中央和习近平总书记书面述职,习近平认真审阅了述职报告并提出重要要求。
党中央集中统一领导是党的领导的最高原则。有关领导同志每年向党中央和总书记书面述职一次,就增强“四个意识”、坚定“四个自信”、做到“两个维护”、履行全面从严治党责任、贯彻落实党中央决策部署、推进本职工作、廉洁自律情况作出报告,是加强和维护党中央集中统一领导的重要制度安排。
党的十八大以来,党和国家事业取得历史性成就、发生历史性变革,根本原因就在于坚持党的领导不动摇,坚持党中央权威和集中统一领导不动摇。2023年是全面贯彻党的二十大精神的开局之年,必须全面贯彻习近平新时代中国特色社会主义思想,坚决维护以习近平同志为核心的党中央权威和集中统一领导,确保全党统一意志、统一行动、步调一致向前进,努力实现良好开局,为全面建设社会主义现代化国家、全面推进中华民族伟大复兴打好基础。
2月24日下午,无害化处理事务中心以“深入学习党的二十大精神,助推城市管理高质量发展”为主题,召开2023年度党总支第2次理论学习(扩大)会,会议由中心党总支书记高嵘主持,共36名党员干部参会。
会上,中心领导导学了习近平总书记在二十届中央政治局第一次集体学习时发表的重要讲话、在学习贯彻党的二十大精神研讨班开班式上发表的重要讲话;总书记在中央农村工作会议上的重要讲话精神及瞻仰延安革命纪念地时发表的重要讲话精神。随后观看了《二十大报告里看未来——为什么说高质量发展是全面建设社会主义现代化国家的首要任务?》学习视频。
五级职员李清围绕主题作中心发言,深入学习领会高质量发展要求,立足工作实际,拥抱中心改革新机遇,谋划中心高质量发展蓝图。随后,中层干部代表作交流发言。
最后,中心党总支书记高嵘就深入学习贯彻党的二十大精神提出三点要求:一是要始终坚持把党的二十大精神作为年度理论学习核心内容,依托党支部组织生活、中心组理论学习等开展形式丰富、方法多样的学习;二是要严格落实习近平总书记要求,原原本本学、逐字逐句学,开展专题学习、研讨学习,加强学习心得交流,促进理论入脑入心;三是要坚持问题导向,推进党的二十大精神融会贯通,用理论指导实践,站在城市管理大局上思考问题,迎接新挑战、抓住新机遇。(方益群)

“医生,我‘阳’了以后,耳朵好像进水了,听不清楚东西!”
“医生,我阳了以后,耳朵听东西好像隔了一层东西,吞咽的时候,耳朵里还会有响声,特别不舒服……”
“医生,我耳朵堵住了,开始的时候不严重,没管它,这几天耳朵越来越闷,听力也不好了……”
当前,大部分人都处于“阳康”的状态,但不少人耳朵出现了一些“小问题”,由于没及时处理,症状越来越严重。
两个月前,安女士(化名)在感染新冠病毒后出现耳闷塞感,由于春节前后工作繁忙,一直未重视,谁知近日耳朵不适感越来越强烈,听力也越来越差,遂来到广州医科大学附属第三医院耳鼻喉科就诊,经检查发现,安女士患上了“分泌性中耳炎”,广州医科大学附属第三医院耳鼻喉科主任医师欧阳顺林为患者进行了“耳内镜下鼓室探查术+鼓膜置管术”,患者术后当天就痊愈出院,恢复了正常生活。

欧阳顺林提醒,“阳康”后如果耳朵出现闷塞感、进水感、听力下降等情况,要警惕“分泌性中耳炎”,应及时到医院就诊检查,避免延误治疗。

“阳康”后耳闷、听力下降
原是患上“分泌性中耳炎”
两个多月前,安女士在新冠感染后出现耳闷塞感,由于当时工作繁忙加上家里有事,就没重视。近日来,安女士觉得耳闷的感觉越来越强烈,听力也越来越受阻,遂来到广医三院耳鼻喉科就诊。
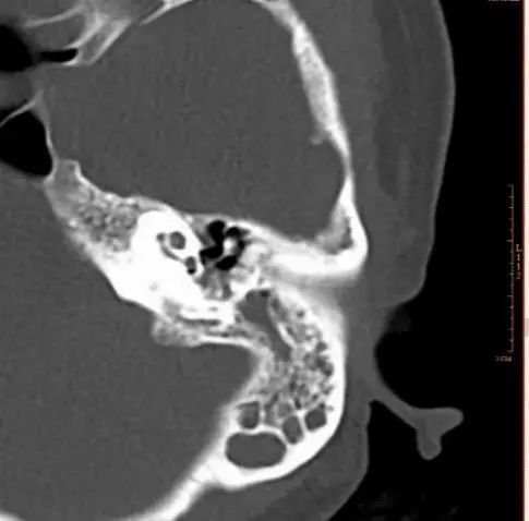
在耳内镜,听力学以及颞骨CT等相关检查后发现,安女士的鼓膜已经明显内陷,鼓室里的积液呈蓝棕色,听力检查提示传导性耳聋,颞骨CT也提示鼓室及乳突里积液。


颞骨CT检查。

欧阳顺林解释:分泌性中耳炎,是以鼓室积液及听力下降为主要特征的中耳非化脓性疾病,也称“渗出性中耳炎”,它的常见病因主要有三种,第一,咽鼓管功能障碍,是最常见的病因,也是新冠病毒感染后发生分泌性中耳炎的主要原因;第二,感染,病毒或者细菌感染;第三,免疫反应,比较常见的过敏性鼻炎患者,咽鼓管口黏膜肿胀或者鼻甲肥厚也可引起分泌性中耳炎。
“假如将我们的中耳鼓室比作一间充满空气的房子,咽鼓管咽口就是我们这间房子的门口,当门口被堵住以后,这间房子就被封闭起来,与外界隔离后内外气流没办法交换,时间一长,房间里的空气越来越少就变成了一个负压的状态,黏膜水肿再加上血管里的水渗出,就形成了分泌性中耳炎。”欧阳顺林进一步解释道。

患上“分泌性中耳炎”别担心
这个日间手术即可轻松“搞掂”
完善检查后,欧阳顺林给安女士安排了日间手术——耳内镜下鼓室探查术+鼓膜置管术,当天就可以出院。
“中耳里面的水,不是从外耳道进去的,而是中耳腔渗出来的,所以分泌性中耳炎的治疗是要把水弄出来。”欧阳顺林解释说,“鼓膜置管术即在鼓膜开窗,相当于给中耳鼓室这个房间重新开一个门,并从这个门里将鼓室里面的积液清除干净,保持中耳腔内外的压力平衡,让我们中耳腔这个房间重新搭建起来,慢慢恢复功能,再把通风管取出来,鼓膜开窗的位置重新生长,治疗完成。”
安女士的手术当中,鼓膜开窗后,从鼓室里冲洗出大量咖啡色的积液,冲洗完后,鼓膜植入通风管,安女士耳闷塞感立马就得到了缓解,听力也提高了,整个人清清爽爽、开开心心地回去上班了。

患者鼓膜置管后。

“阳康”后耳鸣、耳闷别大意
应早诊断、早治疗
据观察,新冠感染后2-3周,部分人出现耳鸣、耳闷塞感、听力下降或者吞咽时耳内出现异常声音等,多半考虑为“分泌性中耳炎”。而在第一波感染高峰过后不久,广医三院耳鼻喉门诊就接诊了许多这样的患者。

欧阳顺林表示,分泌性中耳炎经过及时正确的治疗,可以有效地控制病情,预后良好。明确了分泌性中耳炎的诊断后,应该及时治疗,清除中耳积液,改善中耳通气功能,越早干预,效果越好。
值3月3日“全国爱耳日”来临之际,欧阳顺林提示广大市民,分泌性中耳炎的治疗方便,门诊日间手术即可“搞掂”,市民如果在“阳康”后出现了上述耳部症状,不要大意,及时到耳鼻喉科就诊,尽早解决“小麻烦”。
【来源 广医三院 程秋惠、王慧】
【医学指导 广州医科大学附属第三医院耳鼻喉科主任医师 欧阳顺林】
【审核 何不菲、丘丘】









点分享

点收藏

点点赞

点在看
微信
新浪微博
QQ空间
QQ好友
豆瓣
Facebook
Twitter
